Tuyến giáp là bộ phận quan trọng trên cơ thể, cho nên bạn cần phát hiện bất thường sớm để đi khám, phòng ngừa nhiều biến chứng.
Khám phá


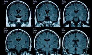
Theo nghiên cứu, não bộ của thanh thiếu niên đã trải qua đại dịch COVID-19 có những dấu hiệu lão hóa sớm và sức khỏe tâm thần của nhóm này cũng kém hơn.

Tổ chức Y tế Thế giới (WHO) ước tính, khoảng 90% dân số thế giới đã có kháng thể với virus SARS-CoV-2 gây bệnh Covid-19. Tuy nhiên, WHO cảnh báo, biến chủng mới nguy hiểm vẫn có thể xuất hiện.

Mây cuộn, mây thấu kính, mây vảy rồng, mây xà cừ, mây dạ quang... khiến người xem nghẹt thở vì quá ấn tượng. Rất tiếc những kiểu mây này hiếm khi xuất hiện nên không phải ai cũng may mắn được chứng...

Ông Li Ching-Yuen được cho là 256 tuổi khi qua đời vào năm 1933, mặc dù các chuyên gia di truyền học nói rằng điều đó là không thể.

Andorra là một đất nước chỉ nhỏ như một ngôi làng, nằm trọn trong thung lũng và phần nào bị thế giới "lãng quên".

Mùa đông năm 1932-33 Ukraine, quốc gia nhỏ bé phía tây nước Nga đã trải qua một nạn đói khủng khiếp khiến cho 7 triệu người chết thảm, đây là cuộc đại tàn sát lớn nhất trong lịch sử nhân loại do...