Thời tiết giao mùa xuân - hè thất thường, độ ẩm cao, mưa nhiều nên anh Lưu đã không dùng đến chiếc ô tô của gia đình trong 2 tháng. Đến giữa tháng 5 vừa qua, nhân ngày trời quang mây tạnh, thời tiết dễ chịu, anh tự lái xe về quê ngoại chơi, cũng là để kiểm tra hệ thống điều hòa và động cơ xe sau thời gian dài ô tô “bất động”.
Không ngờ, 2 ngày sau, anh Lưu đột nhiên thấy đau cơ, đau đầu, ớn lạnh, đau ngực và ho. Tưởng mình bị cảm lạnh do thời tiết, anh mua thuốc cảm về uống nhưng không có tác dụng, lại xuất hiện thêm các triệu chứng sốt cao và khó thở, anh lập tức đến bệnh viện gần nhất. Tại đây, anh được chẩn đoán bị suy đa chức năng gồm phổi, gan, thận và tình trạng rất nguy kịch, cần chuyển lên bệnh viện tuyến trên.

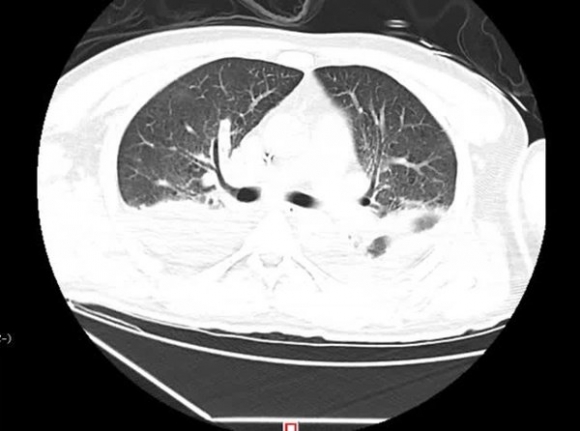
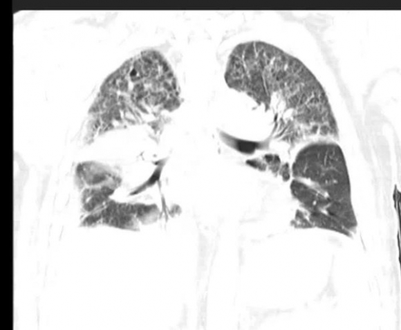
Ngày 16/5, anh Lưu được đưa đến Khoa Cấp cứu tại Bệnh viện Nhân dân tỉnh Hồ Nam (Trung Quốc) trong tình trạng sốt trên 40 độ C. Kết quả kiểm tra CT phát hiện tràn dịch 2 bên ngực, viêm phổi cấp, xét nghiệm máu cho thấy xuất hiện tình trạng giảm oxy máu nghiêm trọng, suy hô hấp, buộc phải thở máy, lập tức chuyển đến phòng cấp cứu đặc biệt (EICU).
Tại đây, các hội chẩn đa khoa chuyên sâu hơn cho thấy chức năng gan, thận, men tim và các chỉ số chức năng đông máu của anh Lưu đều ở tình trạng báo động. Xét nghiệm chỉ ra anh Lưu bị nhiễm vi khuẩn Legionella pneumophila, gây ra tình trạng suy đa tạng cấp tính dẫn đến viêm phổi và suy hô hấp.
Bác sĩ Zhang Xingwen, Trưởng phòng Cấp cứu đặc biệt đã tiến hành thực hiện liệu pháp lọc máu, hỗ trợ chức năng thận liên tục tại giường để loại bỏ các yếu tố gây viêm, đồng thời cho thở máy 24/7 để duy trì mạng sống cho bệnh nhân. Những tưởng sức khỏe của anh đã khả quan hơn thì ngày 26/5, anh Lưu bất ngờ bị viêm cơ tim và suy tim, may mắn là đã được kiểm soát kịp thời.
Sau nửa tháng được chăm sóc tích cực, tình trạng của anh Lưu cuối cùng đã ổn định. Ngày 1/6, anh được chuyển đến khoa tổng hợp và xuất viện sau đó 2 ngày.
Nguy cơ từ chiếc điều hòa lâu không dùng
Bác sĩ Zhang Xingwen cho biết nguyên nhân mắc bệnh của anh Lưu là do nhiễm khuẩn Legionella pneumophila khi sử dụng điều hòa trên xe hơi (do xe để lâu ngày, bị nấm mốc). Ông cũng nhấn mạnh rằng mầm bệnh này rất dễ lây lan trong nước ấm và nơi ẩm thấp, do đó, vòi hoa sen, hồ nước, đài phun nước và thiết bị điều hòa không khí dễ dàng trở thành "điểm nóng" cho sự sinh sôi của loại vi khuẩn này.


Tổn thương phổi do Legionella pneumophila gây ra.
Bệnh viêm phổi do Legionella pneumophila tiến triển rất nhanh, mức độ cực kỳ nguy hiểm nên hãy đi khám kịp thời nếu có các triệu chứng nhiễm trùng phổi như sốt cao, nôn, khó thở, rối loạn ý thức, buồn ngủ, tiêu chảy, đau bụng… sau khi sử dụng máy điều hòa không khí đã không được sử dụng trong một thời gian dài hoặc tiếp xúc với nguồn nước có khả năng bị ô nhiễm.
Để ngăn ngừa nhiễm Legionella pneumophila, bác sĩ Zhang Xingwen đưa ra lời khuyên nên làm sạch điều hòa không khí sau thời gian dài không sử dụng. Tương tự, máy nước nóng và vòi hoa sen lâu ngày không sử dụng nên xả hết nước còn sót lại để tránh tích tụ vi khuẩn. Ngoài ra, nên tăng cường tập thể dục thể thao để nâng cao khả năng miễn dịch và tránh xa thuốc lá.
Theo Pháp luật & Bạn đọc

