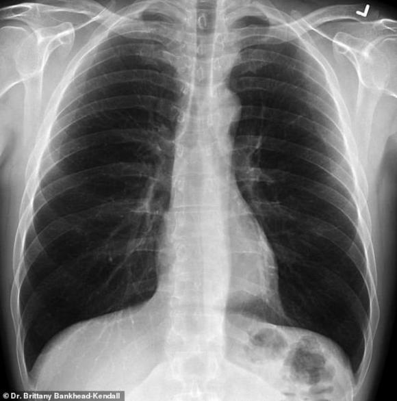
Bác sĩ phẫu thuật Brittany Bankhead-Kendall ở Trung tâm Khoa học Sức khỏe Đại học Kỹ thuật Texas (Mỹ) mới đây trưng ra 3 tấm phim chụp X-quang: Một của bệnh nhân khỏe mạnh, một của người hút thuốc, và một của bệnh nhân Covid-19.
Phim của người khỏe mạnh có nhiều khoảng đen, cho thấy họ có thể hít vào đủ lượng oxy cần thiết. Phim chụp phổi người hút thuốc thì có nhiều khoảng mờ, còn của bệnh nhân Covid-19 thì gần như trắng xóa.

Phổi người hút thuốc (bên trái) và phổi bệnh nhân Covid-19 (bên phải). Ảnh: Bác sĩ Kendall.

Phổi khỏe mạnh. Ảnh: Bác sĩ Kendall.
Những khoảng mờ trên phim chụp phổi thường là chỉ dấu của dịch lỏng, vi khuẩn, hoặc tổn thương và vết sẹo.
Bác sĩ Kendall đánh giá, phổi của các bệnh nhân trải qua Covid-19 tệ hại hơn bất cứ người nghiện thuốc lá nào mà bà từng biết.
Vị nữ bác sĩ cho biết thêm, giới y tế hiện nay mới chỉ tập trung vào tỷ lệ tử vong do Covid-19 mà chưa chú ý đến tác hại lâu dài của bệnh này đối với những người sống sót.
Virus SARS-CoV-2 thường gây ra các biến chứng như viêm phổi – tình trạng mà trong đó phổi chứa đầy dịch lỏng và bị viêm, khiến 2 lá phổi khó tiếp nhận nhiều oxy, dẫn tới tình trạng ho và khó thở.
Một số nghiên cứu cũng phát hiện ở các bệnh nhân Covid-19 tổn thương đối với tế bào biểu mô chạy dọc theo khí quản từ mũi xuống phổi./.
Trung Hiếu/VOV.VN lược dịch
Nguồn: Daily Mail

