Làm mẹ

Một ngày quan sát cuộc sống của đứa trẻ giàu và nghèo, tôi nhận ra 3 điều tạo...

Một ngày quan sát cuộc sống của đứa trẻ giàu và nghèo, tôi nhận ra 3 điều tạo nên khoảng cách xa vời vợi giữa chúng

Cuộc đời là một con đường dài, nếu bạn không làm việc chăm chỉ, làm sao bạn biết bạn hoặc con bạn sẽ không thể tới được thành Rome?


Nhạc vừa bật lên, con gái 5 tuổi đứng dậy nhảy ngay bài lắc hông gợi cảm, biết...

Nhạc vừa bật lên, con gái 5 tuổi đứng dậy nhảy ngay bài lắc hông gợi cảm, biết người dạy những trò lố đó, tôi muốn chuyển trường cho con

Hết đoạn nhạc thì con lại ngồi xuống chơi tiếp. Chồng nhìn sang tôi trợn mắt hỏi có phải tôi cho con xem Tiktok quá nhiều không?
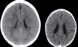
Cha mẹ sốc khi xem ảnh chụp não đứa trẻ 3 tuổi hay bị la mắng, tiến sĩ Harvard...

Cha mẹ sốc khi xem ảnh chụp não đứa trẻ 3 tuổi hay bị la mắng, tiến sĩ Harvard chỉ ra hệ lụy tiêu cực khi kỷ luật trẻ bằng lời nói

Cha mẹ luôn nghĩ rằng, việc la mắng con cái là cách để giáo dục một đứa trẻ trở nên ngoan ngoãn hơn. Thế nhưng, họ không ngờ rằng, hành động này có thể gây ra những tác động tiêu cực lâu dài tới một...
Vì sao nói: Một căn phòng bừa bộn không thể nuôi dạy nên một đứa con tài giỏi?

Vì sao nói: Một căn phòng bừa bộn không thể nuôi dạy nên một đứa con tài giỏi?

Một đứa trẻ tốt chính là thành quả giáo dục và dạy dỗ cẩn thận từ cha mẹ, trong quá trình đó, cha mẹ là người thầy đầu tiên của con trẻ, khi còn nhỏ, trẻ sẽ vô tình bắt chước lời nói và việc làm của...
Cha mẹ không cần phải có học vấn cao siêu, chỉ cần làm được 2 điều này thì đời...

Cha mẹ không cần phải có học vấn cao siêu, chỉ cần làm được 2 điều này thì đời con sẽ tươi sáng

Cha mẹ học vấn bình thường nhưng nếu có phương pháp giáo dục đúng đắn thì hoàn toàn có thể khiến con cái "lội ngược dòng".
Trẻ có 3

Trẻ có 3 "khuyết điểm" này lớn lên có thể kiếm được rất nhiều tiền nhưng lại gây phiền phức, khiến nhiều cha mẹ hiểu lầm

Nếu con bạn có 3 "khuyết điểm" sau đây, đừng giống như các bậc cha mẹ thế hệ trước dán nhãn tiêu cực cho con hoặc bắt con sửa sai.
Giáo sư nổi tiếng: 3 biểu hiện

Giáo sư nổi tiếng: 3 biểu hiện "báo động" trẻ có EQ thấp, mong con bạn không trúng cái nào

Ngày nay, chủ đề về EQ được các bậc phụ huynh hết sức quan tâm.