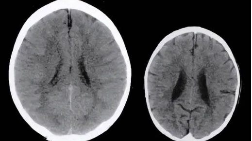
Theo Sohu, các nhà khoa học đã tiến hành quét hình ảnh bên trong não của hai đứa trẻ 3 tuổi có cùng giới tính và điều kiện gia đình. Tuy nhiên, điểm khác biệt giữa hai đứa trẻ là một em thường xuyên bị phụ huynh la mắng, trong khi em còn lại thì không.
Sau đó, kết quả nghiên cứu chỉ ra não bộ của trẻ hay bị la mắng nhỏ hơn rất nhiều so với bạn của mình. Điều này chứng tỏ hai đứa trẻ này đã có sự phát triển trí não chênh lệch dù cho chúng có cùng xuất phát điểm. Nguyên nhân của hiện tượng này là khi con cái bị cha mẹ la mắng và phớt lờ suy nghĩ, não bộ của chúng sẽ ngừng phát triển và thậm chí co lại.
Kết quả nghiên cứu cho thấy trẻ hay bị phụ huynh la mắng (bên phải) có não bộ nhỏ hơn rất nhiều so với bạn đồng trang lứa.
Trong một show truyền hình của Trung Quốc, một bà mẹ chia sẻ luôn cảm thấy không hài lòng và lo sợ con thua kém bạn bè cùng trang lứa. Do đó, cô thường xuyên la mắng con, đồng thời dùng nhiều biện pháp giáo dục nghiêm khắc. Thế nhưng khi đứa trẻ lên 7 tuổi, bà mẹ nhận ra càng đánh mắng thì con lại càng mất kiểm soát và học tập kém hơn. Mọi chuyện tồi tệ đến mức mọi người xung quanh đều khuyên người mẹ cho con đi khám vì nghi ngờ chỉ số IQ của đứa trẻ thấp.
Kết quả là sau khi đến bệnh viện, bác sĩ thất vọng thông báo chỉ số IQ của cậu con trai lại chỉ ngang với đứa trẻ 3 tuổi. Vị bác sĩ cho biết nguyên nhân là do bà mẹ thường xuyên la mắng, ảnh hưởng nghiêm trọng đến sức khỏe thể chất và tinh thần của cậu bé, khiến cho não bộ không phát triển như bình thường.
Chuyên gia lý giải thêm là khi la mắng, cha mẹ sẽ thấy con dần trở nên mất tập trung, đôi mắt đờ đẫn, phản ứng chậm và thường không hiểu những gì phụ huynh đang nói.
Bởi khi đối diện với sự tức giận của người lớn, não bộ của bé có xu hướng ngừng hoạt động. Điều này khiến cho con cảm thấy lo lắng, hồi hộp, hoang mang và đầu óc trở nên trống rỗng. Nếu để trẻ em xuất hiện nhiều tình trạng này, lâu ngày có thể bị phản ứng kém và chậm chạp, trở nên kém thông minh đi.

Nếu thường xuyên bị cha mẹ la mắng, trẻ không những bị tổn hại tâm lý mà còn có thể suy giảm trí thông minh. Ảnh minh họa
Những khiếm khuyết thường thấy ở đứa trẻ hay bị cha mẹ la mắng
Tiến sĩ Joseph Shrand, giảng viên môn Tâm thần học tại Trường Y Harvard cho biết: "La hét là phản ứng của một người khi họ tức giận. Không có gì sai khi chúng ta cảm thấy tức giận một điều gì đó, nhưng cái cách mọi người làm với sự tức giận mới là vấn đề nghiêm trọng".
Tức giận là một cảm xúc phổ biến khi chúng ta ước rằng, mọi thứ không nên xảy ra. Tiến sĩ Shrand nói: "Chúng ta thường tức giận bởi vì muốn con mình ngừng làm cái này hoặc muốn làm cái kia. Ví dụ: Tôi ước con mình nói sự thật đêm qua nó đã ở đâu". Đây là những hành vi mà cha mẹ mong muốn con cái thay đổi, có thể dẫn tới một cơn tức giận bộc phát.
Trên thực tế, việc la mắng con cái không mang lại hiệu quả như cha mẹ nghĩ, trái lại nó gây ra những hệ luỵ tiêu cực.
Sức khỏe suy giảm
Một số nghiên cứu cho thấy, trẻ em khi bị cha mẹ la mắng thường xuyên ít nhiều ảnh hưởng đến sức khỏe. Trong đó, không loại trừ khả năng các bé gặp trạng thái chán chường, mệt mỏi dẫn đến cảm giác chán ăn, việc cân bằng dinh dưỡng bị xáo trộn và cũng là một trong những nguyên nhân khiến trẻ mắc bệnh còi xương, giảm sự đề kháng…
Do đó, để nuôi dạy con tốt nhất, cha mẹ nên biết cách tiết chế sự tức giận và hạn chế tối đa việc la mắng mà thay vào đó, nên có cuộc trò chuyện, trao đổi thẳng thắn để con hiểu điều gì đúng – sai và điều chỉnh hành vi của mình.
Nóng nảy và nổi loạn
Các bậc phụ huynh thường nghĩ rằng việc la hét, dọa nạt con cái là "vũ khí" lợi hại nhất để con có thể sửa chữa sai lầm và không tiếp tục quậy phá nữa. Tuy nhiên, cách giáo dục này lại không mang lại hiệu quả tốt cho trẻ nhỏ.
Nhiều trẻ bị bố mẹ giáo dục theo kiểu bạo lực lời nói như thế này trong thời gian dài, chúng sẽ dần hình thành tính cách cáu kỉnh.
Trẻ sẽ tin rằng, cách giải quyết vấn đề hiệu quả chính là cách mà bố mẹ đang đối xử với mình. Do đó, tính cách của trẻ sẽ thay đổi chúng trở nên rất cáu kỉnh và nổi loạn khó có khả năng khống chế cảm xúc và không có được tính kiên trì, nhẫn nại.
Trẻ không thể rút ra bài học khi bị cha mẹ la mắng
Nhà tâm lý học Laura Markham cho biết: "La mắng con cái là cách để giải tỏa cơn tức giận của cha mẹ, không phải cách hiệu quả để thay đổi hành vi của trẻ. Khi một đứa trẻ sợ hãi, chúng sẽ chuyển sang chế độ 'chiến đấu' hoặc 'bỏ chạy', trung tâm não bộ sẽ ngừng hoạt động".
Phản ứng 'chiến đấu' hoặc 'bỏ chạy' là một phản ứng sinh lý xảy ra khi chúng ta trải nghiệm một điều gì đó mà bộ não cho là bị đe dọa. Như vậy, trẻ không thể học được điều gì khi bị la mắng.
Laura Markham nói thêm: "Giao tiếp một cách hoà bình và bình tĩnh sẽ giúp trẻ cảm thấy an toàn, từ đó dễ tiếp thu những lời dạy của cha mẹ".
Trầm cảm
Một trong những hậu quả có khả năng xảy ra đó là khi trẻ bị cha mẹ la mắng thường xuyên sẽ rơi vào trạng thái trầm cảm. Trẻ sẽ luôn cảm thấy thiếu tự tin bởi những khuyết điểm của mình. Sự sợ hãi, buồn bã sẽ khiến các bé trở nên khép kín, không muốn cởi mở lẫn chia sẻ suy nghĩ của mình đối với cha mẹ.
Trong một số trường hợp, trẻ sẽ có xu hướng thích ở một mình, không muốn giao tiếp với người xung quanh hoặc khó khăn khi bày tỏ suy nghĩ. Đây cũng là một trong những dấu hiệu của bệnh trầm cảm mà cha mẹ cần đặc biệt lưu ý.
Một trong những hậu quả có khả năng xảy ra đó là khi trẻ bị cha mẹ la mắng thường xuyên sẽ rơi vào trạng thái trầm cảm. Ảnh minh họa
Không biết yêu quý bản thân
Nhiều khi cha mẹ la mắng con vì con làm sai điều gì đó hoặc không đáp ứng được yêu cầu của bạn, hành vi đó rất tổn hại đến lòng tự trọng của trẻ. Có thể các bậc phụ huynh cho rằng trẻ còn quá nhỏ nên dễ quên.
Nhưng kỳ thực không phải như vậy, một khi đứa trẻ vượt quá ba tuổi, đứa trẻ đã dần dần hình thành nhân cách của chính mình, hành vi này của cha mẹ chắc chắn sẽ khiến chúng nghĩ mình rất thấp kém, dần dần thiếu tự tin vào bản thân, cho rằng mình không có giá trị và rất vô dụng.
Lâu dần trẻ sẽ có xu hướng bỏ bê bản thân, không còn quan tâm đến việc chăm sóc ngoại hình và học theo những lối sống buông thả. Lúc này trẻ sẽ không còn yêu quý bản thân, bắt đầu có những hành vi nổi loạn như hút thuốc lá, sử dụng rượu bia, các chất kích thích hoặc thậm chí là tham gia vào các hoạt động tệ nạn xã hội.
La mắng trẻ khiến chúng cảm thấy cha mẹ không có giá trị gì cả
Laura Markham cho rằng: "Sợi dây gắn kết tất cả mọi người với nhau là cảm xúc được tôn trọng bởi đối phương. Cảm giác được người khác coi trọng là cách chúng ta đo lường giá trị bản thân và xác định liệu mình có quan trọng với thế giới xung quanh hay không. La hét là một trong những cách nhanh nhất để khiến ai đó cảm thấy họ không có giá trị".
Nói một cách dễ hiểu, khi tức giận và la hét, chúng ta đang xem mình như một cái búa và mọi người xung quanh là cái đinh. Trong tình trạng như vậy, con cái giống như kẻ thù chứ không phải là một người đang được yêu thương.
Bạo lực
Thay vì rơi vào trạng thái trầm cảm, một số trẻ sau khi bị cha mẹ la mắng lại trở nên cục tính và xu hướng bạo lực. Theo lý giải từ các chuyên gia tâm lý, điều này hoàn toàn có thể xảy ra là do trẻ phẫn nộ, bức xúc và không biết giải tỏa tâm lý bằng cách nào. Việc dùng bạo lực, đánh nhau với bạn bè hay la hét chính là cách mà các bé muốn giảm bớt phần nào áp lực, bí bách ở trong người.
Sự thay đổi tính cách này của trẻ một phần là bởi những ảnh hưởng từ cách dạy dỗ của bậc cha mẹ. Vì vậy, cha mẹ hãy có những cân nhắc trong việc trao đổi, dạy con phù hợp theo từng độ tuổi và tính cách. Đặc biệt, đừng quên dành lời động viên đúng lúc khi con trẻ có sự thay đổi tích cực, cố gắng hoàn thành tốt những yêu cầu của cha mẹ.
Theo Giadinh.suckhoedoisong


Ý kiến bạn đọc