
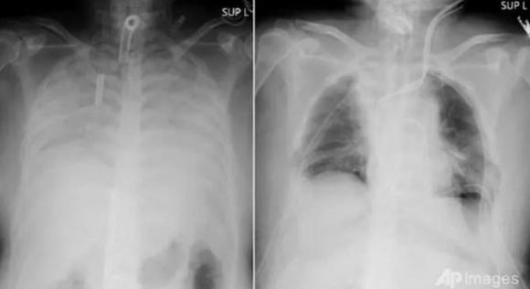
Phim X-quang chụp phần ngực bệnh nhân trước khi phẫu thuật (bên trái) và sau khi phẫu thuật (ảnh do Bệnh viện Đại học Kyoto cung cấp ngày 9-4) - Ảnh: AP/channelnewsasia.com
Theo báo Asahi (Nhật), người được ghép phổi là một nữ bệnh nhân sống tại vùng Kansai. Chị bị mắc COVID-19 từ cuối năm ngoái, sau ba tháng điều trị, căn bệnh đã gây các triệu chứng viêm phổi nghiêm trọng tới mức phải nằm máy thở.
Tuy nhiên ngay cả khi cơ thể người bệnh không còn virus corona, phổi vẫn tiếp tục co lại và xơ cứng dần. Do đó bệnh viện quyết định phẫu thuật ghép phổi cho chị, với phần tạng hiến từ hai người còn sống là chồng và con trai của bệnh nhân theo nguyện vọng của gia đình.
Người bệnh được chuyển tới Bệnh viện ĐH Kyoto hôm 5-4 và ca phẫu thuật được thực hiện hai ngày sau đó.

Hình minh họa về ca phẫu thuật ghép phổi từ hai người còn sống cho một người bệnh COVID-19 được thực hiện tại Bệnh viện ĐH Kyoto - Ảnh: ASAHI SHIMBUN
Hiện bệnh nhân đang được điều trị tại phòng chăm sóc tích cực, khoảng hai tháng nữa sẽ được ra viện và dự kiến có thể trở lại cuộc sống bình thường trong ba tháng nữa. Chồng và con trai chị cũng đang ổn định sức khỏe.
Trước đây, tại Trung Quốc và phương Tây đã có những ca ghép phổi cho người bệnh COVID-19, tuy nhiên những ca đó đều ghép phổi của những người bị chết não. Để được ghép phổi theo cách này, người nhận phải không có bệnh lý nền.
Nguồn: Báo Tuổi trẻ Online

